全场满5000元包邮
账期支付
线下支付
在线支付
支付宝
微信
正品保障
增票速开
售后保障
备注:无质量问题不做退换货处理,下单前请仔细确认,感谢配合!
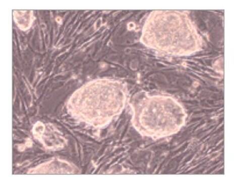
The EmbryoMax range of PMEF cells provides researchers with a convenient solution for ES cell culture by eliminating the need for time consuming feeder cell isolation and preparation. Many embryonic stem cell culture protocols necessitate the use of primary mouse embryo fibroblast (PMEF) cells. In these protocols, ES cells are typically cultured on a monolayer of PMEF feeder cells. Feeder cells perform two important roles in stem cell culture: they secrete several important growth factors into the medium, which help maintain pluripotency, and they provide a cellular matrix for ES cells to grow.
储存条件
象形图
警示语
Class
警告声明
UNub
危险声明
Packing Group
搜索质检报告(COA)
搜索MSDS